



To do things properly you need plenty of it, we feel the 20-minute slots at high street opticians just aren’t long enough. With our 60-minute appointments, you won’t feel like you are being rushed along a conveyor belt. We will have time to explain everything and answer all your questions.
All of our optometrists have over 20 years of experience, so there isn’t much they haven’t seen or dealt with before. They all complete many hours of training every year on the latest techniques and clinical knowledge.
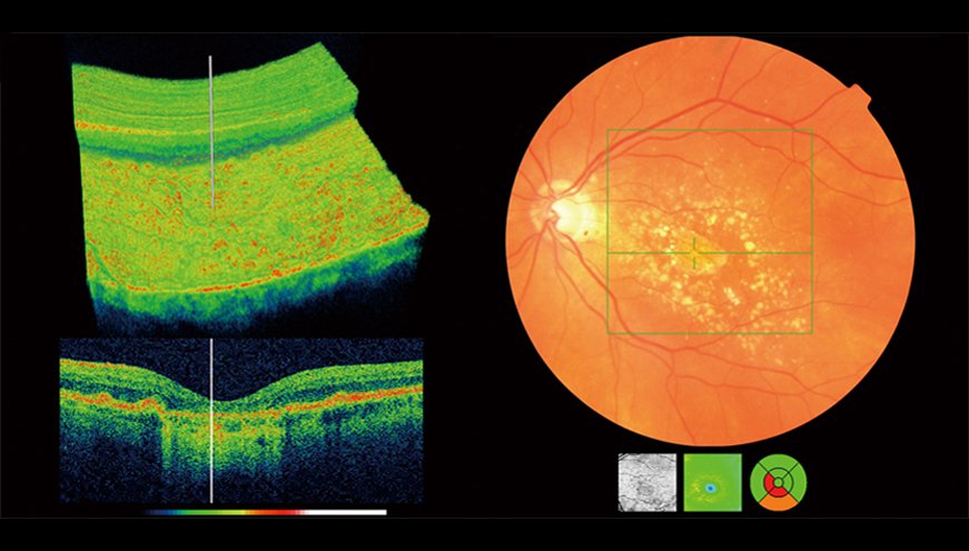
We have the latest diagnostic equipment as used in hospital departments. We are still the only practice in Solihull to have a 3D OCT scanning system, and the experience how to interpret the results.
Seeing a familiar optometrist each time isn’t just reassuring, we can get to know you and understand what really matters.
At Perspective we are extremely proud of our reputation for fantastic eyecare. Our eye examinations are extensive, in depth and most importantly unhurried. Because we take the time to get to know you, we really can give you the best care, get the most accurate prescription and recommend your ideal personalised vision solution.
You will benefit from our 60-minute Advanced Eye Examinations, using state-of-the art hospital grade technology. Examinations are conducted as often as necessary, and you can be seen for any emergencies or concerns about your eyes or vision. All diagnostic tests are conducted or overseen by your optometrist, rather than a technician. The results are then available immediately, so any issues can be investigated thoroughly and dealt with quickly.
If referral is required we have very close links with the top local ophthalmology consultants and surgeons.
The reassurance of seeing a familiar and experienced optometrist, every time you need us, is priceless. Our advanced eye examination gives you peace of mind that your eyes are healthy, and that you are benefiting every day from the best vision possible. We love making life look better!
If you have never had an eye test before, rest assured that the process is simple but thorough. Our optometrist will look closely at all aspects
of your vision and eye health. A warm welcome and introduction proceeds the Pre-Screening checks, the main eye examination then follows. Once your visual requirements have been determined a hand over to one of our experienced dispensing opticians will occur. Using your optometrist’s findings they will guide you through the process of choosing your new eyewear, or check your current glasses are comfortable and clear.
The auto-refractor examination only takes a few seconds and is completely painless. Placing your chin on the chin rest, you will be asked to look at a picture. The auto-refractor then uses a complex process to estimate your required prescription by measuring the deviation of light your eye causes. This information is then used by your Optometrist, along with the other vision tests, to determine the prescription that gives you the best standard of vision.


The next check is to measure the pressure inside your eyes, which is known as the intraocular pressure (IOP). A non-contact tonometer is used to measure the IOP. The instrument directs a small puff of air into the eye, measuring your IOP on the basis of your eye’s resistance to the air. Additional investigations such as visual field testing are also carried out by the optometrist.
The main part of the check-up starts with a chat about your reason for coming to see us, including any issues with your spectacles, your vision or eye health. Details of your general health, medications and eye history will also be taken into consideration. Using the test chart, trial frame or phoroptor and retinoscope your Optometrist will determine if any corrective power is required, for optimum vision at distance, near or screen.


Using the ophthalmoscope, slit lamp and volk lens the health and overall condition of your eyes will be assessed. The Optometrist is looking for signs of ocular conditions such as cataracts, glaucoma and macular changes. In addition indications of general health problems such as diabetes, high blood pressure and raised cholesterol can be detected.
As part of your sight test we use the latest innovation of OCT to produce a high resolution scan of your retina. This allows your eyes to be checked in greater detail and compared with future scans, helping the early detection of changes to your eye health.


3D OCT moves beyond basic retinal photography to reveal the hidden layers of the eye in high definition. 3D scanning technology has already
provided significant gains in eye disease detection, allowing conditions such as wet macular degeneration and glaucoma to be identified much sooner. Our Advanced Eye Examinations feature OCT as standard!
With your new personalised prescription determined our expert dispensing opticians will help choose your perfect eyewear. To avoid trawling through endless racks of frames our experienced team will work with you, to understand your individual needs and personal style. They can then select frames that not just suit your personality and compliment your face shape and features, but also work with your prescription and lifestyle. They will then explain the options for your lenses, and help select the right ones for you. Please make the most of our expert advice, trying the frames you like and asking questions about your lenses, with no pressure or obligation.




